5+1 tévhit a fogfehérítésről
5+1 tévhit a fogfehérítésről A fogfehérítés az egyik ...Tovább
5+1 tévhit a fogfehérítésről A fogfehérítés az egyik ...Tovább
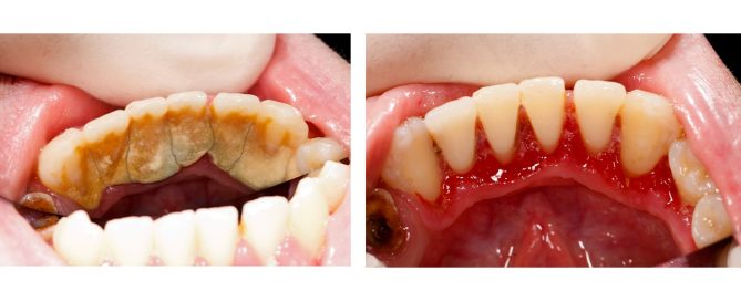
A fogászati gócok és a fog eredetű gyulladások ...Tovább
Bölcsességfog kisokos – Mit kell tudni a bölcsességfogról? ...Tovább
Fogmegtartó kezelések - avagy mit tehetünk fogunk egészségéért? ...Tovább
Szájhigiénia fenntartása fogszabályozó kezelés során Vajon mire érdemes ...Tovább
Your Content Goes Here Amikor fogorvosi ellátásról van ...Tovább
Your Content Goes Here A kommunikáció az életünk ...Tovább
Your Content Goes Here Gyakran hallunk arról, hogy ...Tovább
Your Content Goes Here Amikor a gyermek fogászati ...Tovább
Your Content Goes Here A fogkő eltávolítás fontossága: ...Tovább